Что может быть лучше, чем стакан лимонада в жаркий день? Этот напиток, содержащий антиоксиданты, стимулирует ваш ум и тело, утоляет жажду.
Чтобы сделать его более полезным, сделайте свой лимонад дома сами. Бренды, легко доступные в магазинах, добавляют сахар и красители, поэтому они приносят больше вреда, чем пользы. Домашний лимонад может улучшить ваше здоровье и зарядить вас энергией.
Является ли лимонад здоровым напитком?
Лимонад является одним из самых популярных напитков во всем мире. Он недорогой и его просто сделать. У него отличный вкус и лимонад хорошо утоляет жажду. Так полезен или вреден домашний лимонад? Конечно, в нем больше пользы!
Важен только один момент: вы должны пить его без сахара или подслащивающих веществ. Просто смешайте охлажденную воду со свежевыжатым лимонным соком и сразу же выпейте. Если вы хотите выпить лимонад позже, положите напиток в холодильник.
Некоторые люди пьют теплую воду с лимонным соком рано утром, чтобы избавиться от токсинов. Такой напиток укрепляет иммунитет и повышает скорость метаболизма. Выбирайте, что вам больше нравится.

Несмотря на то, что лимонад немного кислый, лимон подщелачивает ваш организм. В результате восстанавливается pH баланс.
Чтобы напиток стал еще более вкусным и полезным, добавьте листья перечной мяты, нарезанные огурцы, апельсиновый сок или другие активные ингредиенты.
Одна чашка лимонного сока (200 мл) обеспечивает около 187 процентов рекомендуемого для ежедневного употребления витамина C.
Лимонад отличный источник меди, калия, витамина B6, фолиевой кислоты, тиамина и витамина Е.
Смешайте лимонный сок с водой и наслаждайтесь его ароматом и вкусом.
Подсластите напиток стевией или корицей.
Этот напиток улучшит пищеварение, устранит запоры, повысит иммунитет и стабилизирует кровяное давление.
Врачи отмечают, что лимонад может иметь как положительные, так и отрицательные стороны. С одной стороны, домашний лимонад, приготовленный из свежих фруктов и воды, может быть источником витаминов и минералов, таких как витамин C и калий. Он помогает утолить жажду и может быть полезен в жаркую погоду. Однако, с другой стороны, многие коммерческие лимонады содержат большое количество сахара и искусственных добавок, что может привести к проблемам с зубами, ожирению и другим заболеваниям. Врачи рекомендуют ограничивать потребление сладких газированных напитков и предпочитать натуральные варианты, чтобы избежать негативных последствий для здоровья.
https://youtube.com/watch?v=hPQrKBmyhJo
Удивительные свойства лимонада
Употребление лимонада — отличный способ очистить ваш организм от токсинов и поднять его иммунитет. Богатый калием, этот напиток способствует здоровью сердечно-сосудистой системы и функционированию мозга.
Он устраняет вздутие живота, изжогу и расстройство желудка.
Стимулируя печень, лимонад помогает выводить ядовитые вещества. При этом улучшается производство пищеварительных соков в желудке.
Многие профессиональные спортсмены пьют лимонад во время и после тренировки, чтобы восполнить уровень соли в организме.
Лимонный сок — это естественное средство, уменьшающее боль и воспаление в суставах. Его действие заключается в разжижении и выведении соединений мочевой кислоты.
Он помогает избежать простуды и гриппа, способствует потере веса и успокаивает раздражения на коже. Пектин, тип волокна, обнаруженный в лимонах, обладает антибактериальными свойствами и позитивно влияет на здоровье толстой кишки.
Если употреблять лимонад регулярно и без сахара можно избежать камней в почках и предотвратить рост раковых клеток.
Антиоксиданты, содержащиеся в лимоне, борются с повреждениями клеток, замедляют старение и защищают кожу от вредных ультрафиолетовых лучей.
Возьмите половину лимона, выжимайте его, разведите в стакане воды. Добавьте стевию или мед, и наслаждайтесь!
Попробуйте пить этот напиток утром, чтобы лимонад стимулировал вашу пищеварительную систему.
Если вы больны гриппом, выпейте теплую воду с лимоном. Напиток поможет вам устранить боль в горле и уменьшить кашель.
Лимонад полезен людям с астмой, диабетом, хронической усталостью, плохой циркуляцией крови и сердечно-сосудистыми заболеваниями.
Побочные эффекты
Одна чашка (200 мл) магазинного лимонада содержит 99 калорий или 25 граммов сахара или 6 его чайных ложек.
Американская кардиологическая ассоциация рекомендует женщинам принимать менее 100 калорий, приходящихся на сахар, или около 6 его чайных ложек. Мужчины должны употреблять менее 150 калорий или около 9 чайных ложек сахара.
Всемирная организация здравоохранения рекомендует удерживать употребление сахара в количестве менее чем 5 процентов от вашего ежедневного употребления калорий.
Эта информация относится к среднестатистическому взрослому человеку. Питание с высоким содержанием сахара может вызвать образование зубного кариеса, увеличению веса и прогрессированию хронических заболеваний.
Кислота в лимонаде может вызвать изжогу. Пейте лимонад в небольших количествах, чтобы избежать нежелательных проблем со здоровьем.
Лимонад — это популярный напиток, который вызывает множество обсуждений о своей пользе и вреде. С одной стороны, он освежает и утоляет жажду, особенно в жаркую погоду. Многие люди отмечают, что лимонад, приготовленный из свежевыжатого лимонного сока, богат витамином C, который поддерживает иммунную систему и способствует улучшению пищеварения. Однако, с другой стороны, готовые лимонады, содержащие много сахара и искусственных добавок, могут негативно сказаться на здоровье. Избыточное потребление сахара связано с риском развития ожирения, диабета и других заболеваний. Кроме того, кислота в лимонах может повредить зубную эмаль. Поэтому важно выбирать качественные ингредиенты и употреблять лимонад в умеренных количествах, чтобы наслаждаться его вкусом и при этом заботиться о своем здоровье.
https://youtube.com/watch?v=oK7FE7RAjRQ
Увеличение веса
Напитки, содержащие сахар, например лимонад, не насыщают вас полезной пищей, такой как полноценная еда.
Гарвардская школа общественного здравоохранения считает, что люди, которые пьют сладкие напитки, едят не меньше, и следовательно употребляют гораздо больше калорий.
Употребление сладких напитков может привести к тому, что вы будете хотеть другие сладкие, высококалорийные продукты.
Исследование 2011, опубликованное в журнале «New England Journal of Medicine» доказало, что люди, которые ежедневно употребляли напиток с сахаром в количестве 355 мл, поправлялись в год на лишних 0,5 кг по сравнению с теми, кто этого не делал.
Дополнительные килограммы могут привести к лишнему весу и множеству хронических заболеваний.
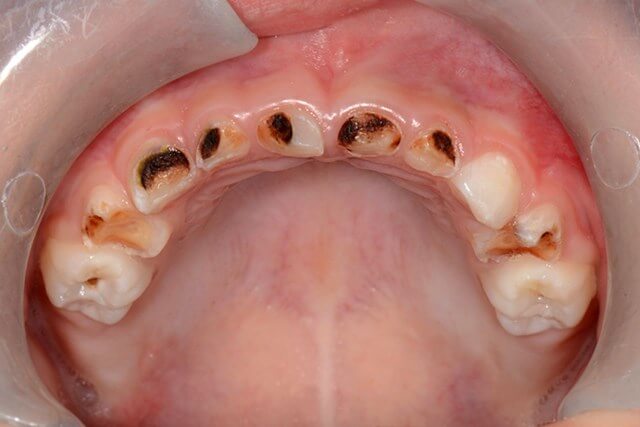
Кариес зубов
Лимонад по вкусу является и кислым, и сладким, это может спровоцировать заболевания полости рта.
Кислота в лимонаде разрушает внешний слой ваших зубов, а бактерии во рту питаются сахаром, все вместе приводит к кариесу зубов.
Употребление чрезмерного количества лимонада может привести к тому, что ваши зубы изнашиваются и становятся очень чувствительными. Все это приводит к тому, что употребление пищи может быть болезненным. Лимонад может привести к пожелтению зубов, так как эмаль зубов разрушается от воздействия кислоты, содержащийся в напитке.
https://youtube.com/watch?v=2IiqFYNB9Ms
Изжога
Когда кислый желудочный сок попадает в пищевод, возникает изжога или кислотный рефлюкс. Изжога очень неприятна и сопровождается жжением в средней или верхней части живота.
Кислота, содержащаяся в цитрусовых, таких как лимоны, увеличивает кислотность в вашем желудке.
Кливлендская клиника считает, что необходимо предотвратить использование цитрусовых, если у вас возникает после лимонада изжога. Не пейте этот напиток, в крайнем случае можно попробовать разбавить его водой.
Болезни сердца
По данным Гарвардской медицинской школы, употребление сахара должно составлять 10% от общего употребления калорий.
Большинство магазинных лимонадов содержат очень много сахара.
Исследование, проведенное в течение 15 лет показало, что те кто употреблял более чем 25% сахара от общего рациона, имели больше шансов умереть от болезни сердца. Независимо от возраста, пола, веса и физической подготовки.
Хорошего дня!
Вопрос-ответ
Чем вреден лимонад для организма?
Помимо высокого содержания простых углеводов, сладкие газированные напитки содержат большое количество консервантов и красителей, которые обладают канцерогенным действием, и ортофосфорной кислоты, ухудшающей усвоение кальция в организме. Это в конечном итоге приводит к разрушению эмали зубов и развитию остеопороза.
Чем полезен лимонад для здоровья?
Поскольку лимонад — это, по сути, лимонный сок, смешанный с водой и небольшим количеством сахара, это простой способ получить полезную дозу лимона. Витамины С, В6 и А — это лишь некоторые из многих витаминов, минералов и полезных соединений, содержащихся в одном лимоне.
В чем польза лимонада?
Если лимонад содержит натуральные соки, он может обогатить ваш рацион витаминами и антиоксидантами. Например, лимонад с добавлением настоящего лимонного сока является хорошим источником витамина C, который способствует укреплению иммунной системы и борется со свободными радикалами.
Можно ли каждый день пить лимонад?
Задаваясь вопросом «можно ли пить много газировки», помните, что без вреда для здоровья сладкие газированные напитки можно пить по стакану не чаще двух раз в неделю и только здоровым людям. ВОЗ рекомендует потреблять не более 25 г сахара в сутки.
Советы
СОВЕТ №1
Выбирайте лимонад с натуральными ингредиентами. Обратите внимание на состав напитка и старайтесь избегать лимонадов с искусственными красителями и консервантами. Лучше всего готовить лимонад самостоятельно, используя свежие фрукты и натуральные подсластители.
СОВЕТ №2
Умеренность — ключ к здоровью. Хотя лимонад может быть освежающим и вкусным, старайтесь не злоупотреблять им. Ограничьте потребление сладких напитков, чтобы избежать избыточного потребления сахара и калорий.
СОВЕТ №3
Добавляйте полезные ингредиенты. Чтобы сделать лимонад более питательным, добавьте в него свежие травы, такие как мята или базилик, а также цитрусовые, которые обогатят напиток витаминами и антиоксидантами.
СОВЕТ №4
Следите за реакцией организма. Если вы замечаете, что после употребления лимонада у вас возникают дискомфорт или аллергические реакции, возможно, стоит пересмотреть его состав или уменьшить количество потребляемого напитка.



Побочные эффекты



